The transition from natural teeth to dentures can be a life changing event. The most notable change is the decrease in chewing efficiency between natural teeth and denture teeth. When a patient is first learning to use dentures, the diet can change from a moderate to soft consistency. This is due to the movement of the dentures during the chewing cycle. Less chewing force is needed for softer foods making it easier for people to learn how to use dentures. The consistency of the diet usually improves as the patient learns how to balance the dentures during chewing. Once the teeth are lost the jaw bone starts a degenerative process leading to bone loss. The loss of the supporting jaw bone can cause the dentures to become unstable and creates a sunken look to the face and cheeks leaving denture wearers to look aged before their time.




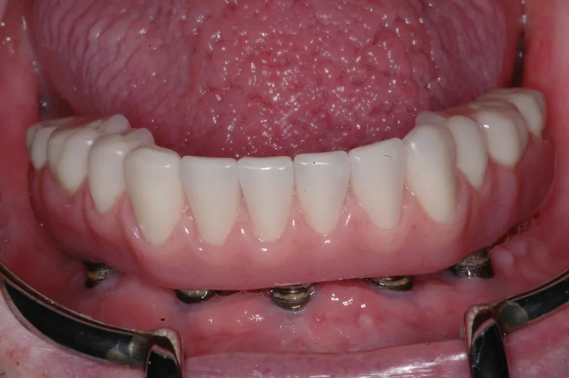
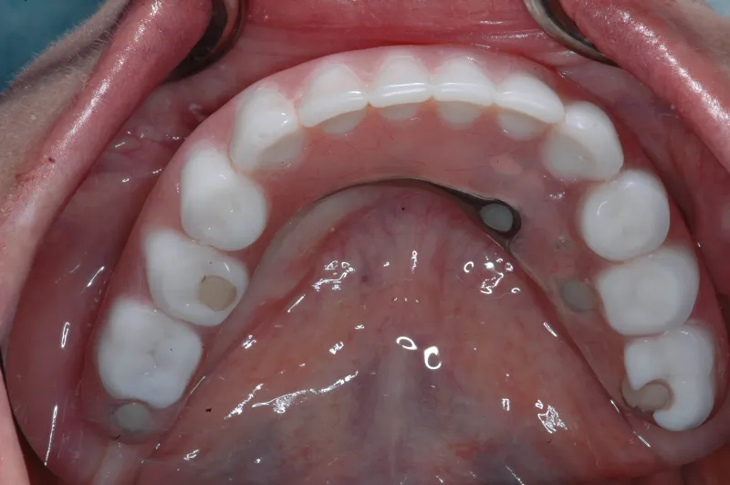
Implant retained dentures have multiple benefits. First, they create an anchoring effect for the denture making it more secure during chewing. The added retention and stability allows for a wider range of foods to be enjoyed. Second, the patient has the added confidence that the artificial teeth will not pop out of the mouth during chewing, laughing, talking or yawning. Patients no longer have to suffer the embarrassment of such an event. Third, dental implants replace the roots of the teeth. Their presence stops the bone loss that occurs following tooth loss helping to preserve the facial structures and support the soft tissues.
Implant dentures are designed to be fixed (screwed in place) or removable. The design is based on the number of implants present and the amount of bone loss that has already occurred. The fixed denture requires 4-6 implants . A removable implant supported denture can be made on as few as two implants. Sometimes the budget or insurance coverage will dictate which option you decide on. Most patients prefer the fixed type implant denture. These types of dentures eliminate the need for denture adhesive.
If you wear dentures and you are looking for a better diet, more self confidence and a youthful appearance then implant retained dentures may be just for you. Our office specializes in this advanced dental treatment. We are available to discuss this health care option with you. Call to schedule an appointment.