Full Mouth Dental Implants in Scottsdale AZ
Dental well-being is increasingly recognized as an essential part of overall health and wellness. Oral health is often directly connected to a person’s self-esteem as well as a great detector to other physical ailments such as gum disease, and serious health conditions to include diabetes, stroke, and heart failure. Dr. Michael Bleeker’s Scottsdale facility strives to improve each patient’s overall well-being and offers services to improve function, aesthetics, and quality of life. Full mouth dental implants & restoration is a comprehensive treatment plan that combines several dental procedures to create a healthier more beautiful smile. Patients looking for the best full mouth dental implants in Scottsdale, AZ can visit Dr. Michael Bleeker for a free consultation. Dr. Bleeker is committed to offering compassionate dental care when patients need it most. Full mouth Dental implants are a great way to replace a single tooth or restore all missing teeth.
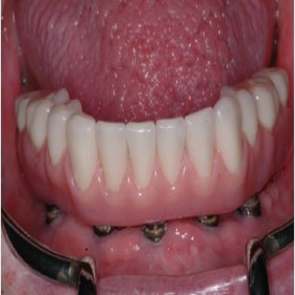
In-house guided surgical stents for precise full mouth dental implant placement in Scottsdale AZ.
What is Full Mouth Restoration?
Patients who have experienced decades of wear and tear are often prime candidates for full mouth dental implants & restoration. However, the reconstruction can also help with problems that include:
– Teeth lost from trauma or decay
– Teeth that are broken or injured
– Teeth that have become worn down due to long-term erosion
– Teeth grinding
– Jaw pain caused by bite problems
Damage to teeth can be so extensive, that their dental function is poor and the patient’s lifestyle suffers – biting and chewing may be problematic, and their speech, self-esteem, and psychological well-being may also suffer because of it.
Dr. Bleeker examines the head, neck, and areas to address patient concerns and then educates the patient on the problem and available procedures available to solve it. During the assessment, the doctor will look at the following:
Teeth – the extent of damage, existence of tooth decay or cavities, and other issues will determine what dental procedure is necessary. These treatments may include veneers, crowns, bridges, or implants.
Periodontal (gum tissue)– the soft tissue of the mouth is a key area in the fight against dental problems and healthy gums are necessary to provide a solid foundation for any new dentures or crowns. A patient with poor gum or jaw health may need scaling, root planing, bone grafting, or other aggressive therapies that remove infection and promote dental health.
Temporomandibular Joint (TMJ)– the muscles that allow your jaw to function are prone to pain and discomfort when other dental problems arise. TMJ issues can cause teeth grinding and other problematic conditions and so changes to the bite must be taken into consideration. The doctor will offer education and guidance for orthodontics or other special therapies needed to address TMJ problems.
Appearance – although the goal is to address the health and function of the teeth, appearance does matter. The doctor will note such specifics as to the color, shape, and size of the patient’s teeth, as well as their natural face shape so that all treatments are appropriate and result in a natural look.
Get Full Mouth Dental Implants & Restoration in Scottsdale
Our Scottsdale patients can receive rehabilitative treatment that replaces most, or even all of their teeth. The treatment plan is crucial to the process. It requires both a dental examination and x-rays to assess the health and position of the bone. Once the treatment plan is in place, there is a smooth transition from one phase to another with more predictable results.
If you are in the greater Phoenix area and want to learn more about getting the cost of dental implants in Scottsdale, AZ, or All-On-4 dental implants, full mouth dental implants, denture options, please contact our Scottsdale office today.


